Hjernesvulst - en oversikt
Hjernesvulst er en svulst som oppstår i hjernen. Det finnes mange ulike typer hjernesvulster. Noen har en god prognose, andre dårlig. Noen vokser svært langsomt, andre vokser hurtig. En viktig oppgave er derfor å få en nøyaktig diagnose.

Sist oppdatert:
27. juli 2020
Innhold i artikkelen
Hva er en hjernesvulst?
Hjernesvulst er en svulst som oppstår i hjernen. Svulster er celleklumper som består av celler som deler seg og vokser raskere enn normalt vev. Dersom veksten er ukontrollert og svulsten vokser inn i det omgivende vevet (infiltrerer) og kan spre seg til andre områder av kroppen, foreligger en ondartet (malign) svulst. Svulster som har spredt seg til hjernen fra andre deler av kroppen (hjernemetastaser), omtales ikke her.
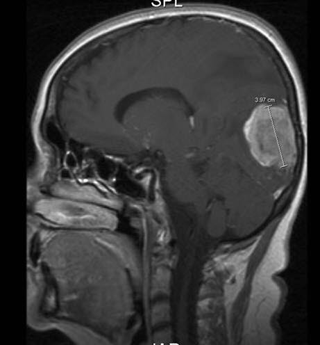
Foto: Radiologisk avdeling, UNNDet finnes mange ulike typer hjernesvulster. De deles inn etter hvilken celletype de minner mest om, hvor i hjernen de er lokalisert og hvorvidt de er godartet eller ondartet. Fordi hjernesvulster som er godartet kan være dødelig på grunn av sin plassering, risikerer man at skillet mellom en godartet og ondartet svulst blir kunstig.
Hjernesvulst er forholdsvis sjelden. Årlig får omtrent 900 personer diagnostisert hjernesvulst i Norge. Av disse er omtrent 40 barn. I 2018 fikk 885 mennesker i Norge kreft i hjerne og sentralnervesystemet. 440 menn og 445 kvinner.
Årsak
Vi kjenner ikke den konkrete årsaken til hvorfor hjernesvulster oppstår, men både arvelige og miljømessige faktorer spiller en rolle. De fleste symptomene ved hjernesvulst skyldes økt trykk i hjernen og/eller forstyrrelse av normalt hjernevev. Noen hjernesvulster kan også produsere hormoner som kan gi ulike symptomer.
Symptomer
Symptomene vil variere etter hvor i hjernen svulsten sitter, og ett eller flere av de følgende symptomene kan oppleves:
- Hodepine, særlig om den er spesielt fremtredende når man ligger eller at man våkner med hodepine
- Epileptiske anfall
- Kvalme og oppkast
- Synsforstyrrelser
- Tale- og bevegelsesbesvær
- Unormal tretthet
- Psykiske forandringer
Diagnosen
Lokalisasjonen og hvilken variant av hjernesvulst som foreligger, er av betydning for om sykdommen gir tydelige sympomer eller ikke. Noen hjernesvulster vokser raskt, andre vokser langsomt. Noen former for hjernesvulst fører til typiske symptomer, og sykdommen blir oppdaget raskt. I andre tilfeller er forløpet snikende, og symptomene melder seg sent.
Ved mistanke om hjernesvulst vil du bli henvist til sykehus for nærmere utredning. Her vil det bli tatt bildeundersøkelser av hjernen. MR er det viktigste hjelpemiddelet til å påvise hjernesvulst. Bildene blir tatt både med og uten kontrast (kontrast er et "fargestoff" som sprøytes inn i blodet og gjør strukturer lettere synlig på bildene fra undersøkelsen). Også andre bildeundersøkelser av hjernen kan være aktuelle som CT, ultralyd, PET.
Behandling
Hvilken behandling som blir gitt, vil avhenge av mange faktorer. Svulsttype, beliggenhet og svulstens størrelse er mest avgjørende for de fleste, i tillegg er det viktig å velge behandlinger personen tåler. Det som er effektiv og god behandling for unge og friske, kan for eldre og svekkede være en påkjenning kroppen ikke tåler.
Såfremt det er mulig, vil målet med behandlingen være å forsøke å helbrede sykdommen. I noen tilfeller er det imidlertid kun aktuelt med lindrende og ev. livsforlengende behandling. Som behandling brukes kirurgi, strålebehandling og cellegift. Disse kan brukes hver for seg, eller i kombinasjon.
Prognose
Utviklingen vil variere veldig, og avhenger blant annet av hvilken type svulst, hvor den sitter og andre faktorer. Etter at svulsten er fjernet, blir noen helt friske, mens andre får komplikasjoner som synsforstyrrelser, epileptiske anfall, tale- og bevegelsesbesvær eller psykiske forandringer.
Sykdommen kan ikke alltid helbredes, men man kan alltid avlaste og lindre.
Dersom du blir ufør som følge av kreftsykdom, kan du i noen tilfeller ha krav på en forsikringssum. Du kan videre bli fritatt fra å betale premie på løpende forsikringspremier.
Sykdommen kan i tillegg gi deg rett til særfradrag i likningen. Mer informasjon om dette får du ved å henvende deg til Kreftforeningen eller likningskontoret.
Vil du vite mer
Vil du vite mer - Diverse
Dette dokumentet er basert på det profesjonelle dokumentet Hjernesvulst hos voksne . Referanselisten for dette dokumentet vises nedenfor
- Louis DN, Perry A, Reifenberger G et al. The 2016 World Health Organization Classification of Tumors of the Central Nervous System: a summary. Acta Neuropathol 2016; 131(6): 803-20. pmid:27157931 PubMed
- Helseth E, Meling T, Lundar T, et al. Intrakraniale svulster hos voksne. Tidsskr Nor Lægeforen 2003; 123: 456-61. PubMed
- Eirik Helseth, Bernt J. Due-Tønnessen, Tryggve Lundar et al. Intrakraniale svulster hos barn. Tidsskr Nor Legeforen 2003; 123: 451-5. pmid:12643055 PubMed
- Whittle IR, Smith C, Navoo P, Collie D. Meningiomas. Lancet 2004; 363: 1535-43. PubMed
- Wiemels J, Wrensch M, Claus EB. Epidemiology and etiology of meningioma. J Neurooncol 2010; 99: 307-14. pmid:20821343 PubMed
- Saeger W, Lüdecke DK, Buchfelder M, et al. Pathohistological classification of pituitary tumors: 10 years of experience with the German Pituitary Tumor Registry. Eur J Endocrinol 2007; 156: 203-16. pmid:17287410 PubMed
- Kreftregisteret. Cancer in Norway 2017. Oslo: Kreftregisteret, 2018, www.kreftregisteret.no. www.kreftregisteret.no
- Perkins A, Liu G. Primary brain tumors in adults: diagnosis and treatment. Am Fam Physician. 2016 Feb 1;93(3):211-217B.
- Marta GN, Murphy E, Chao S et al. The incidence of second brain tumors related to cranial irradiation. Expert Rev Anticancer Ther 2015; 15: 295-304. pmid:25482749 PubMed
- Salvatore JR, Weitberg AB, Mehta S. Nonionizing electromagnetic fields and cancer: a review. Oncology (Huntingt) 1996; 10: 563 - 74. PubMed
- Frei P, Poulsen AH, Johansen C, et al. Use of mobile phones and risk of brain tumours: uppdate of Danish cohort study. BMJ 2011; 343: d6387. BMJ (DOI)
- Inskip PD, Mellemkjær L, Gridley G, Olsen JH. Incidence of intracranial tumors following hospitalization for head injuries (Denmark). Cancer Causes Control 1998; 9: 109 - 16. PubMed
- Little MP, Rajaraman P, Curtis RE et al. Mobile phone use and glioma risk: comparison of epidemiological study results with incidence trends in the United States. BMJ 2012. pmid:22403263 PubMed
- Wong ET, Wu JK. Clinical presentation and diagnosis of brain tumors. UpToDate. Last updated Feb 2017. UpToDate
- Wen PY, Schiff D, Kesari S, Drappatz J, Gigas D, Doherty L. Medical management of patients with brain tumors. J Neurooncol 2006; 80: 313-32. PubMed
- Helseth R, Helseth E, Johannesen TB, et al. Overall survival, prognostic factors, and repeated surgery in a consecutive series of 516 patients with glioblastoma multiforme. Acta Neurol Scand 2010; 122: 159-67. pmid:20298491 PubMed
- Jakola AS, Myrmel KS, Kloster R, et al. Comparison of a strategy favoring early surgical resection vs a strategy favoring watchful waiting in low-grade gliomas. JAMA 2012; 308: 1881-8. pmid:23099483 PubMed
- Hasseleid BF, Meling TR, Rønning P, et al. Surgery for convexity meningioma: Simpson Grade I resection as the goal: clinical article. J Neurosurg 2012; 117: 999-1006. pmid:23061394 PubMed
- Lassen B, Helseth E, Egge A, et al. Surgical mortality and selected complications in 273 consecutive craniotomies for intracranial tumors in pediatric patients. Neurosurgery 2012; 70: 936-43. pmid:21993188 PubMed
- Lassen B, Helseth E, Rønning P, et al. Surgical mortality at 30 days and complications leading to recraniotomy in 2630 consecutive craniotomies for intracranial tumors. Neurosurgery 2011; 68: 1259-68. pmid:21273920 PubMed
- Stummer W, Reulen HJ, Meinel T, et al. Extent of resection and survival in glioblastoma multiforme: identification of and adjustment for bias. Neurosurgery 2008; 62: 564-76. pmid:18425006 PubMed
- Myrseth E, Møller P, Pedersen PH, Lund-Johansen M. Vestibular schwannoma: surgery or gamma knife radiosurgery? A prospective, nonrandomized study. Neurosurgery 2009; 64: 654-61. pmid:19197222 PubMed
- Storstein A, Helseth E, Johannesen TB et al. Høygradige gliomer hos voksne. Tidsskr Nor Legeforen 2011; 131: 238-41. doi:10.4045/tidsskr.09.1362 DOI
- van den Bent MJ, Brandes AA, Taphoorn MJ, et al. Adjuvant procarbazine, lomustine, and vincristine chemotherapy in newly diagnosed anaplastic oligodendroglioma: long-term follow-up of EORTC brain tumor group study 26951. J Clin Oncol 2013; 31: 344-50. pmid:23071237 PubMed
- Hart MG, Grant R, Garside R, Rogers G, Somerville M, Stein K. Chemotherapy wafers for high grade glioma. Cochrane Database of Systematic Reviews 2011, Issue 3. Art. No.: CD007294. DOI: 10.1002/14651858.CD007294.pub2. DOI
- Hart MG, Garside R, Rogers G, Stein K, Grant R. Temozolomide for high grade glioma. Cochrane Database of Systematic Reviews 2013, Issue 4. Art. No.: CD007415. DOI: 10.1002/14651858.CD007415.pub2. DOI
- Stupp R, Hegi ME, Mason WP et al. Effects of radiotherapy with concomitant and adjuvant temozolomide versus radiotherapy alone on survival in glioblastoma in a randomised phase III study: 5-year analysis of the EORTC-NCIC trial. Lancet Oncol 2009; 10(5): 459. pmid:19269895 PubMed
- Cairncross G, Wang M, Shaw E, et al.: Phase III trial of chemoradiotherapy for anaplastic oligodendroglioma: long-term results of RTOG 9402.. J Clin Oncol 2013; 31: 337-43. pmid:23071247 PubMed
- Ferreri AJ. How I treat primary CNS lymphoma. Blood 2011; 118: 510-22. pmid:21613254 PubMed
- Ameratunga M, Pavlakis N, Wheeler H. Anti‐angiogenic therapy for high‐grade glioma. Cochrane Database of Systematic Reviews 2018, Issue 11. Art. No.: CD008218. DOI: 10.1002/14651858.CD008218.pub4. DOI
- Sarmiento JM, Venteicher AS, Patil CG. Early versus delayed postoperative radiotherapy for treatment of low‐grade gliomas. Cochrane Database of Systematic Reviews 2015, Issue 6. Art. No.: CD009229. DOI: 10.1002/14651858.CD009229.pub2. DOI
- van den Bent MJ. Practice changing mature results of RTOG study 9802: another positive PCV trial makes adjuvant chemotherapy part of standard of care in low-grade glioma. Neuro Oncol. 2014. 16(12): 1570–1574. pmid: 25355680 PubMed
- Buckner JC, Shaw EG, Pugh SL et al. Radiation plus Procarbazine, CCNU, and Vincristine in Low-Grade Glioma. N Engl J Med 2016; 374(14): 1344-55. pmid:27050206 PubMed
- Baumert BG, Hegi ME, van den Bent MJ et al. Temozolomide chemotherapy versus radiotherapy in high-risk low-grade glioma (EORTC 22033-26033): a randomised, open-label, phase 3 intergroup study. Lancet Oncol 2016; 17(11): 1521-32. pmid:27686946 PubMed
- Wen PY, Kesari S. Malignant gliomas in adults. N Engl J Med 2008; 359: 492-507. PubMed
- Lecavalier‐Barsoum M, Quon H, Abdulkarim B. Adjuvant treatment of anaplastic oligodendrogliomas and oligoastrocytomas. Cochrane Database of Systematic Reviews 2014, Issue 5. Art. No.: CD007104. DOI: 10.1002/14651858.CD007104.pub2. The Cochrane Library
- Omuro A, DeAngels LM. Glioblastoma and Other Malignant Gliomas A Clinical Review. JAMA 2013; 310: 1842-50. pmid:24193082 PubMed
- Rogers L1, Barani I, Chamberlain M et al. Meningiomas: knowledge base, treatment outcomes, and uncertainties. A RANO review. J Neurosurg 2015; 122: 4-23. pmid:25343186 PubMed
- Breivik CN, Varughese JK, Wentzel-Larsen T, et al. Conservative management of vestibular schwannoma--a prospective cohort study: treatment, symptoms, and quality of life. Neurosurgery 2012; 70: 1072-80. pmid:22067416 PubMed
- Myrseth E, Pedersen PH, Møller P, Lund-Johansen M. Treatment of vestibular schwannomas. Why, when and how?. Acta Neurochir (Wien) 2007; 149: 647-60. pmid:17558460 PubMed
- Varughese JK, Wentzel-Larsen T, Pedersen PH, et al. Gamma knife treatment of growing vestibular schwannoma in Norway: a prospective study. Int J Radiat Oncol Biol Phys 2012; 84: e161-6. PMID: 22682805 PubMed
- Lin EP, Crane BT. The Management and Imaging of Vestibular Schwannomas. AJNR Am J Neuroradiol 2017; 38: 2034-43. pmid:28546250 PubMed
- Molitch ME. Diagnosis and Treatment of Pituitary Adenomas: A Review. JAMA 2017; 317: 516-24. pmid:28170483 PubMed
- Varughese RK, Lind-Landström T, Habberstad AH et al. Mitosin and pHH3 predict poorer survival in astrocytomas WHO grades II and III. J Clin Pathol 2016; 69: 26-34. pmid:26188054 PubMed
- Brandes AA, Tosoni A, Cavallo G et al. Correlations between O6-methylguanine DNA methyltransferase promoter methylation status, 1p and 19q deletions, and response to temozolomide in anaplastic and recurrent oligodendroglioma: a prospective GICNO study. J Clin Oncol 2006; 24(29): 4746. pmid:16954518 PubMed
- National Institute for Health and Care Excellence. Brain tumours (primary) and brain metastases in adults. NICE Guideline NG 99. Published July 2018. Siden besøkt 17.12.2018. www.nice.org.uk