Bilde
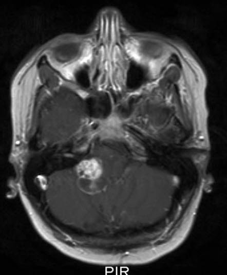
Pilocytisk astrocytom, aksialt snitt
Sist oppdatert:
9. jan. 2006

Pilocytisk astrocytom WHO grad I
Gjengitt med tillatelse av Radiologisk avdeling, Universitetssykehuset Nord-Norge
Sist oppdatert:
9. jan. 2006

Pilocytisk astrocytom WHO grad I
Gjengitt med tillatelse av Radiologisk avdeling, Universitetssykehuset Nord-Norge