Bilde
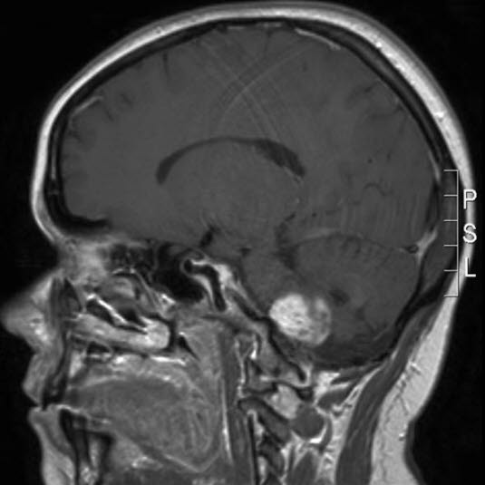
Pilocytisk astrocytom, sagittalt snitt
Sist oppdatert:
3. feb. 2016

Pilocytisk astrocytom WHO grad I
Gjengitt med tillatelse av Radiologisk avdeling, Universitetssykehuset Nord-Norge
Sist oppdatert:
3. feb. 2016

Pilocytisk astrocytom WHO grad I
Gjengitt med tillatelse av Radiologisk avdeling, Universitetssykehuset Nord-Norge