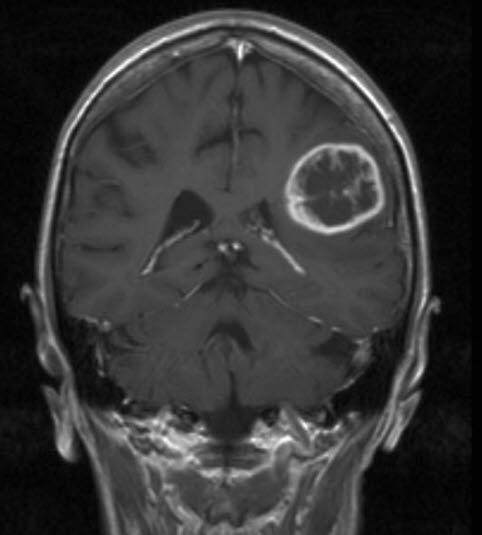
Bilde
Glioblastom, koronalt snitt
Sist oppdatert:
3. feb. 2016

Glioblastom WHO grad IV
Gjengitt med tillatelse av Radiologisk avdeling, Universitetssykehuset Nord-Norge
Sist oppdatert:
3. feb. 2016

Glioblastom WHO grad IV
Gjengitt med tillatelse av Radiologisk avdeling, Universitetssykehuset Nord-Norge