Bilde
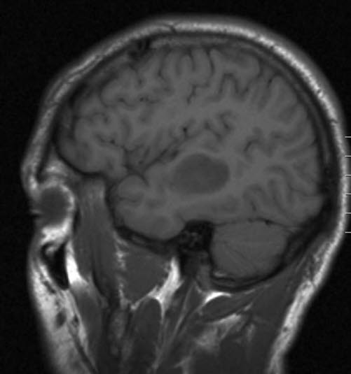
Lavgradig astrocytom, sagittalt snitt
Sist oppdatert:
2. feb. 2016

Lavgradig astrocytom WHO grad II
Gjengitt med tillatelse av Radiologisk avdeling, Universitetssykehuset Nord-Norge
Sist oppdatert:
2. feb. 2016

Lavgradig astrocytom WHO grad II
Gjengitt med tillatelse av Radiologisk avdeling, Universitetssykehuset Nord-Norge