Bilde
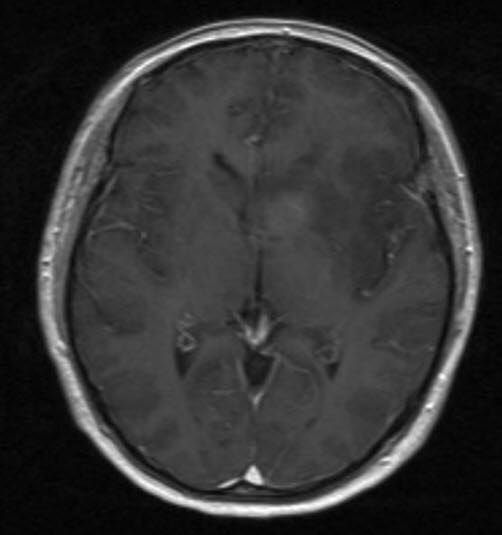
Anaplastisk astrocytom, aksialt snitt
Sist oppdatert:
2. feb. 2016

Anaplastisk astrocytom WHO grad III
Gjengitt med tillatelse av Radiologisk avdeling, Universitetssykehuset Nord-Norge
Sist oppdatert:
2. feb. 2016

Anaplastisk astrocytom WHO grad III
Gjengitt med tillatelse av Radiologisk avdeling, Universitetssykehuset Nord-Norge