Bilde
Subaraknoidalblødning
Sist oppdatert:
2. feb. 2016

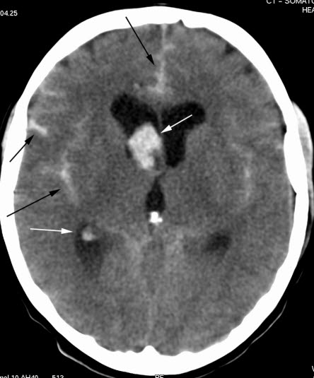
CT axialbilde uten kontrast
Blod (lyse områder) i høyre sideventrikkel (hvite piler), mellom hemisfærene frontalt og i fissura Sylvii på begge sider (svarte piler). Kalk i corpus pineale (intenst hvitt).
Annonse