Hopp til innhold
NHI.no
Annonse
Bilde

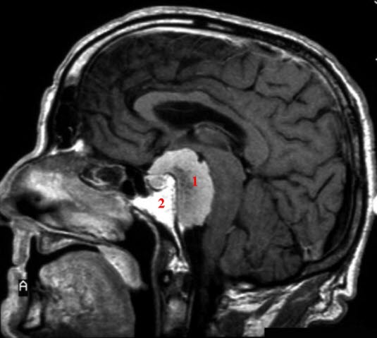
Meningeom

Sist oppdatert:

2. feb. 2016

Meningiom (med kontrast)

MR med kontrast - saggitalsnitt

  1. Ødem
  2. Meningeomet