Hopp til innhold
NHI.no
Annonse
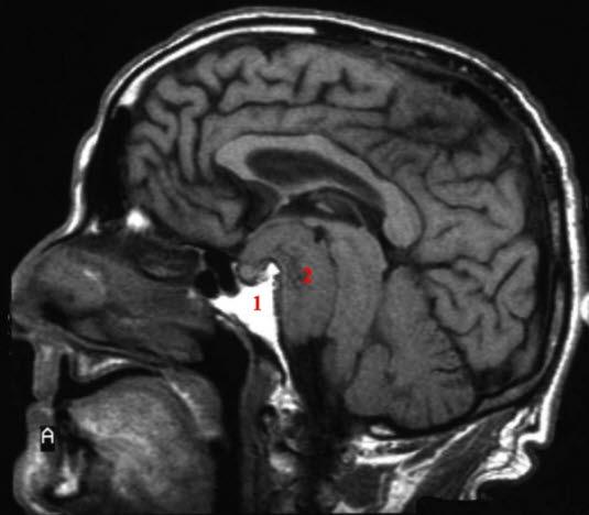
Bilde

Meningiom

Sist oppdatert:

2. feb. 2016

Meningiom

MR uten kontrast - saggitalsnitt

  1. Meningeomet (svulst utgående fra hjernehinner)
  2. Ødem