Hopp til innhold
NHI.no
Annonse
Bilde

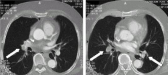
Lungeemboli - spiral CT

Sist oppdatert:

12. mai 2017

lungeemboli_Spiral CT

Spiral CT: Pilene viser okkluderende trombe i underlappsarteriene begge sider