Bilde
Hjertesvikt, lett-2
Sist oppdatert:
12. mai 2017

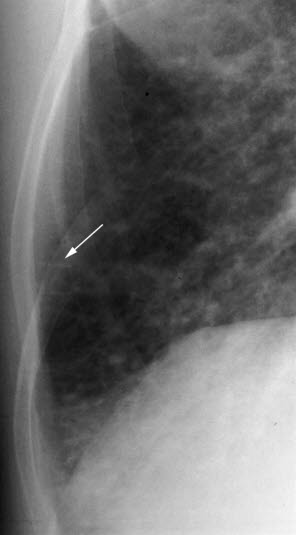
"Kerley B linjer" (pil) som er fortykkede interlobulærsepta på grunn av øket væskemengde.
Sist oppdatert:
12. mai 2017

"Kerley B linjer" (pil) som er fortykkede interlobulærsepta på grunn av øket væskemengde.