Bilde
Hjertesvikt, lett-1
Sist oppdatert:
11. mai 2017

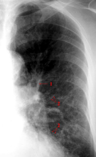
Litt vide lungekartegninger (1) og markerte interstitielle septa (2) på grunn av øket væskemengde i blodårene.
Sist oppdatert:
11. mai 2017

Litt vide lungekartegninger (1) og markerte interstitielle septa (2) på grunn av øket væskemengde i blodårene.