Bilde
Cerebrale multiinfarkt
Sist oppdatert:
2. feb. 2016

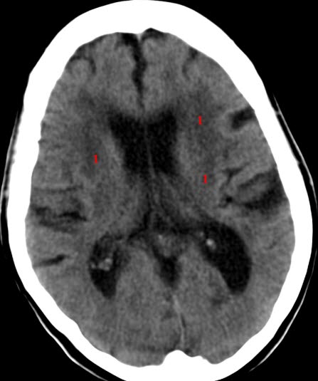
CT axialbilde uten kontrast
Uregelmessige, stort sett symmetriske, lavattenuerende (mørke) områder (1) på begge sider med vevstap på grunn av nedsatt blodtilførsel
Sist oppdatert:
2. feb. 2016

CT axialbilde uten kontrast
Uregelmessige, stort sett symmetriske, lavattenuerende (mørke) områder (1) på begge sider med vevstap på grunn av nedsatt blodtilførsel