Bilde
Cerebral blødning
Sist oppdatert:
2. feb. 2016

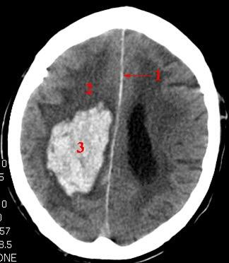
CT axialbilde uten kontrast
Blødning (lyst område) i hjernen på pasientens høyre side (CT bilder av hjernen vises normalt nedenfra og opp, pasientens ansikt peker oppover). Det er lite ødem og ingen overskyvning av midtlinjestrukturene
Annonse
- Falx cerebri
- Ødemsone
- Blødning