Hopp til innhold
NHI.no
Annonse
Bilde

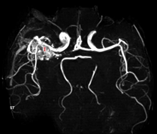
AV-malformasjon

Sist oppdatert:

2. feb. 2016

AV-malformasjon (MR angio)

MR angio uten kontrast viser blodårenøste (1)