Bilde
AV-malformasjon
Sist oppdatert:
2. feb. 2016

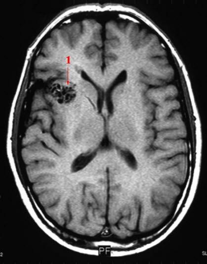
MR - tverrsnitt av en arteriovenøse malformasjon (AV malformasjon - 1). En unormal, direkte forbindelse mellom arterier og vener uten noe kapillærsystem i mellom. Forekommer særlig i sentralnervesystemet og er som regel medfødt. De fleste AV-malformasjoner er uten symptomer, men de kan også føre til smerter eller blødning eller føre til andre alvorlige medisinske problemer.
Annonse