Hopp til innhold
NHI.no
Annonse
Bilde

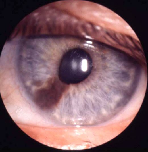
Malignt irismelanom

Sist oppdatert:

26. feb. 2016

Malignt irismelanom