Hopp til innhold
NHI.no
Annonse
Bilde

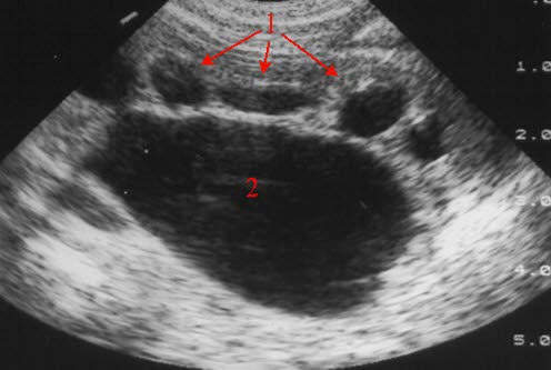
Overgangs-stenose

Sist oppdatert:

31. des. 2001

Overgangs-stenose (UL)

Ultralyd

Kraftig utvidelse av calyces (1) og ekstrarenalt nyrebekken (2)