Bilde
Nyrecyste
Sist oppdatert:
31. des. 2001

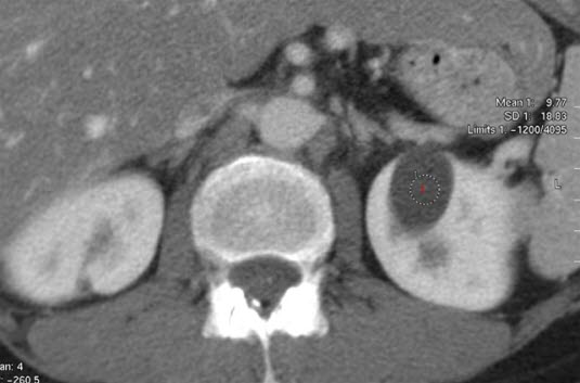
CT axialbilde med i.v. kontrast
Velavgrenset, homogent, lavattenuerende (mørkt) område (1) foran i høyre nyre
Sist oppdatert:
31. des. 2001

CT axialbilde med i.v. kontrast
Velavgrenset, homogent, lavattenuerende (mørkt) område (1) foran i høyre nyre