Hopp til innhold
NHI.no
Annonse
Bilde

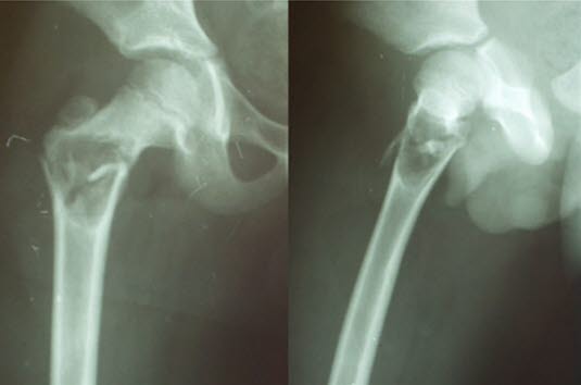
Solitær beincyste

Sist oppdatert:

2. juni 2015

solitær beincyste

Solitær beincyste i trochanterområdet