Hopp til innhold
NHI.no
Annonse
Bilde

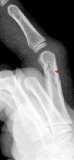
Finger-fraktur side

Sist oppdatert:

2. juni 2015

Phalanx-fraktur side

Fraktur i 3. fingers proksimale falang uten feilstilling