Hopp til innhold
NHI.no
Annonse
Bilde

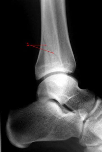
Malleolfraktur, side

Sist oppdatert:

2. juni 2015

Malleolfraktur, side

Skråfraktur gjennom laterale malleol uten feilstilling (1)