Bilde
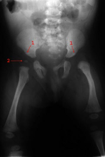
Hofteleddsdysplasi
Sist oppdatert:
2. juni 2015

Venstresidig hofteleddsdysplasi med steil acetabulumvinkel, lateralisering av caput femoris og forsinket mineralisering av caputs benkjerne
- Acetabularvinkel
- Benkjerne høyre caput femoris (venstre ikke mineralisert)