Hopp til innhold
NHI.no
Annonse
Bilde

Håndledd, side

Sist oppdatert:

2. juni 2015

Håndledd, side

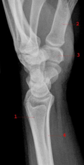
Normalt sidebilde av håndledd med håndrotsknokler

  1. Ulna
  2. 1. metakarp
  3. Os trapezium
  4. Radius