Hopp til innhold
NHI.no
Annonse
Bilde

Håndledd front

Sist oppdatert:

2. juni 2015

Håndledd front

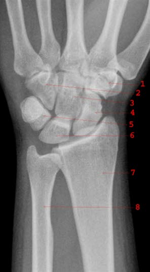
Normalt håndledd

  1. Os trapezium
  2. Os hamatum
  3. Os capitatum
  4. Os scaphoideum
  5. Os triquetrum
  6. Os lunatum
  7. Radius
  8. Ulna