Hopp til innhold
NHI.no
Annonse
Bilde

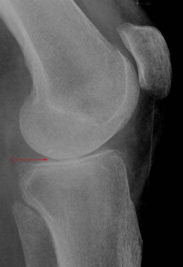
Gonartrose, moderat, side

Sist oppdatert:

2. juni 2015

Gonartrose, moderat, side

Lett redusert bruskhøyde i kneleddet (1).