Bilde
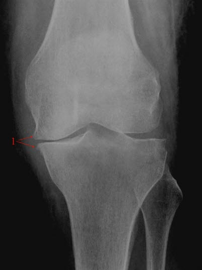
Gonartrose, moderat, front
Sist oppdatert:
2. juni 2015

Moderat artrose medialt i kneleddet. Redusert bruskhøyde og små påleiringer rundt leddflatene (1)
Sist oppdatert:
2. juni 2015

Moderat artrose medialt i kneleddet. Redusert bruskhøyde og små påleiringer rundt leddflatene (1)