Bilde
Gonartrose, lett
Sist oppdatert:
2. juni 2015

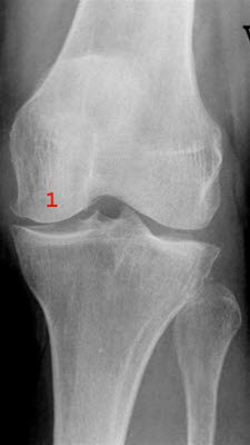
Lett redusert bruskhøyde medialt i kneleddet med små påleiringer på mediale femurcondyl (1)
Sist oppdatert:
2. juni 2015

Lett redusert bruskhøyde medialt i kneleddet med små påleiringer på mediale femurcondyl (1)