Hopp til innhold
NHI.no
Annonse
Bilde

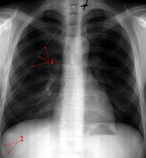
Ventilpneumothorax - behandlet

Sist oppdatert:

31. des. 2001

Ventilpneumothorax - behandlet

Korrigering av pneumothorax med innlagt dren (1 og 2)