Bilde
Småcellet anaplastisk carcinom
Sist oppdatert:
31. des. 2001

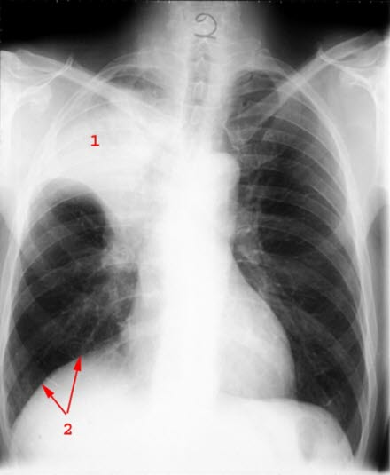
Atelektase av overlapp høyre lunge (1) på grunn av svulst som klemmer av bronkier
- Atelektase (sammenfall)
- Opptrekt mellomgolv (diafragma) pga atelektasen øverst i høyre lunge
Sist oppdatert:
31. des. 2001

Atelektase av overlapp høyre lunge (1) på grunn av svulst som klemmer av bronkier