Bilde
Småcellet anaplastisk carcinom
Sist oppdatert:
31. des. 2001

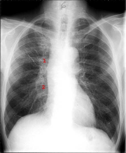
Etter cytostatikabehandling
Markerte kjertler i hilus på h. side (1 og 2). Atelektasen er borte, bare noe stripeforma arrvev i overlappen på høyre side
Normalt lungevev på v. side
Sist oppdatert:
31. des. 2001

Etter cytostatikabehandling
Markerte kjertler i hilus på h. side (1 og 2). Atelektasen er borte, bare noe stripeforma arrvev i overlappen på høyre side
Normalt lungevev på v. side