Bilde
Sarkoidose
Sist oppdatert:
31. des. 2001

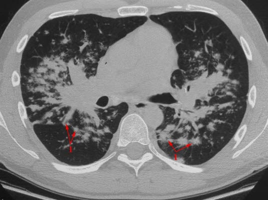
HRCT (High resolution CT)
En millimeter tykt CT-snitt
Uregelmessige små knuter (granulomer) med hovedsakelig sentral fordeling
Sist oppdatert:
31. des. 2001

HRCT (High resolution CT)
En millimeter tykt CT-snitt
Uregelmessige små knuter (granulomer) med hovedsakelig sentral fordeling