Bilde
Lungeemboli
Sist oppdatert:
31. des. 2001

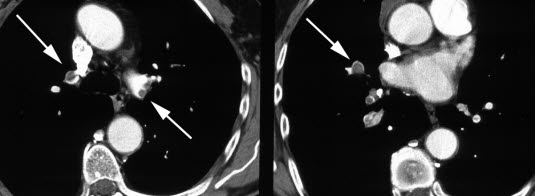
To CT-snitt etter intravenøs kontrastinjeksjon viser embolier (mørke) omsluttet av kontrast-tilblandet blod (lyst) i over- og underlappsarterier bilateralt (piler).
Sist oppdatert:
31. des. 2001

To CT-snitt etter intravenøs kontrastinjeksjon viser embolier (mørke) omsluttet av kontrast-tilblandet blod (lyst) i over- og underlappsarterier bilateralt (piler).