Hopp til innhold
NHI.no
Annonse
Bilde

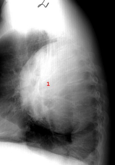
Lungeabscess - side

Sist oppdatert:

31. des. 2001

Lungeabscess - side

Svær lungeabscess, pussfylt hule i lungen (1)