Hopp til innhold
NHI.no
Annonse
Bilde

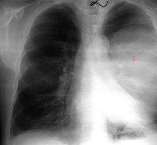
Lungeabscess - front

Sist oppdatert:

1. sep. 2006

Lungeabscess - front

Lungeabscess, det vil si pussfylt hulrom i lungen (1)
Etter lungebetennelse