Hopp til innhold
NHI.no
Annonse
Bilde

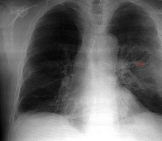
Lungeabscess - etter behandling

Sist oppdatert:

31. des. 2001

Lungeabscess - etter behandling

Restforandringer etter behandling av lungeabscess (1)