Hopp til innhold
NHI.no
Annonse
Bilde

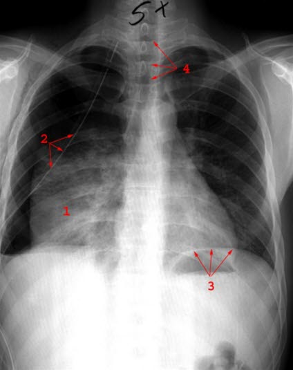
Lobærpneumoni

Sist oppdatert:

31. des. 2001

Lobærpneumoni

Fortetning i underlappen høyre side

  1. Fortetning
  2. Kateter
  3. Luft i magesekken
  4. Trachea