Hopp til innhold
NHI.no
Annonse
Bilde

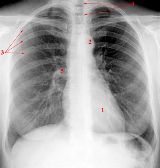
Thorax normalt

Sist oppdatert:

1. sep. 2006

Thorax normalt
  1. Hjerteskygge
  2. Aortabue
  3. Costae (ribben)
  4. Trakea (luftrør)
  5. Lungehilus