Bilde
Lungecancer
Sist oppdatert:
22. mai 2002

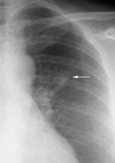
Røntgen-bilde viser en liten og litt uskarpt avgrenset tumor i venstre lunge (pil). Samme tumor som "Lungecancer CT"
Sist oppdatert:
22. mai 2002

Røntgen-bilde viser en liten og litt uskarpt avgrenset tumor i venstre lunge (pil). Samme tumor som "Lungecancer CT"