Hopp til innhold
NHI.no
Annonse
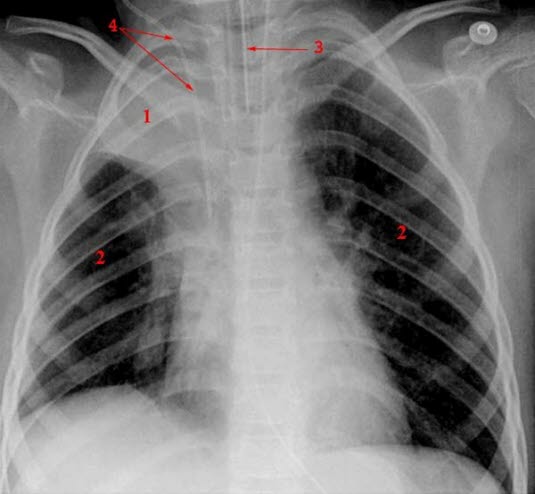
Bilde

Atelektase

Sist oppdatert:

22. mai 2002

Atelektase
  1. Atelektase av hele høyre overlapp
  2. Normalt lungevev
  3. Trakealtube
  4. CVK (sentralt venekateter)