Hopp til innhold
NHI.no
Annonse
Bilde

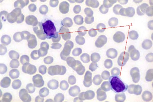
Mononukleose

Sist oppdatert:

20. apr. 2017

Mononukleose, reaktiv lymfocytose

Reaktiv lymfocytose