Hopp til innhold
NHI.no
Annonse
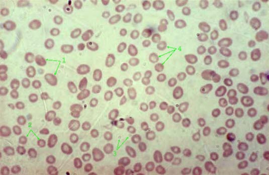
Bilde

Makrocytær anemi

Sist oppdatert:

20. apr. 2017

Makrocytær anemi (x 40)

40 x forstørrelse

Stor variasjon i størrelse og form av røde blodceller