Hopp til innhold
NHI.no
Annonse
Bilde

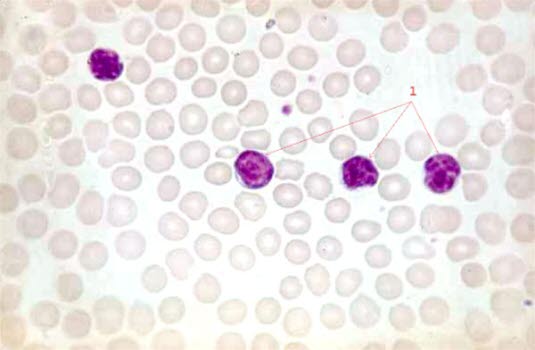
Kronisk lymfatisk leukemi

Sist oppdatert:

20. apr. 2017

Kronisk lymfatisk leukemi (x 40)

40 x forstørrelse

Lymfocytter med stor kjerne og sparsomt cytoplasma