Hopp til innhold
NHI.no
Annonse
Bilde

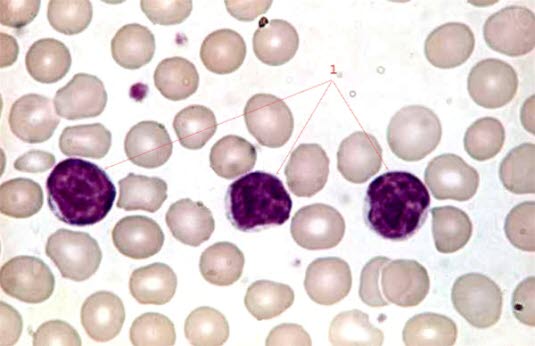
Kronisk lymfatisk leukemi

Sist oppdatert:

20. apr. 2017

Kronisk lymfatisk leukemi (x 100)

100 x forstørrelse

Stor kjerne, lite cytoplasma