Hopp til innhold
NHI.no
Annonse
Bilde

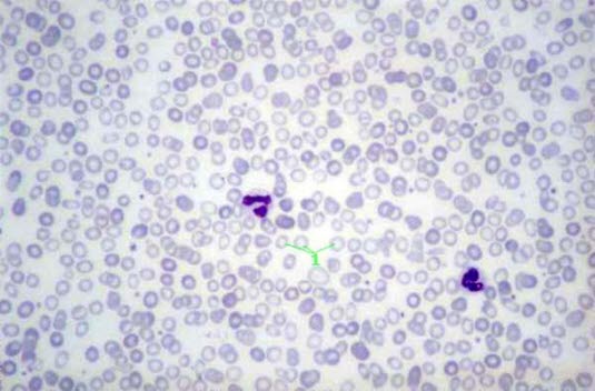
Jernmangelanemi

Sist oppdatert:

20. apr. 2017

Jernmangelanemi

Nedsatt fargemetning av røde blodceller