Hopp til innhold
NHI.no
Annonse

Alarmerende mye resistente tuberkulosebakterier: Kostbar og tidkrevende behandling

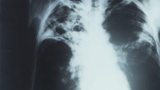
Foto: PHIL - CDC: Røntgenbilde (anterioposteriort) av en pasient med diagnosen avansert, aktiv, lungetuberkulose. Bildet viser bilateralt infiltrat og typisk tuberkulose-uthuling av høyre lungetopp.Foto: PHIL - CDC: Røntgenbilde (anterioposteriort) av en pasient med diagnosen avansert, aktiv, lungetuberkulose. Bildet viser bilateralt infiltrat og typisk tuberkulose-uthuling av høyre lungetopp.

Antibiotikaresistent tuberkulose er både vanskeligere og dyrere å behandle enn vanlig tuberkulose. Den er også mer dødelig. Behandling av resistente tuberkulosebakterier er svært kostbart - opptil 200 ganger dyrere enn vanlig tuberkulosebehandling. Behandlingen i seg selv kan også gi alvorlige bivirkninger.

Annonse

Vanlig tuberkulose krever ofte behandling i opptil seks måneder. Mange pasienter fullfører ikke kurene, og dette er en faktor som medvirker til utviklingen av de resistente variantene av bakterien. Dermed er det størst fare for de med få ressurser - behandlingen er dyr, tidkrevende - og det tar tid før du ser effekten av behandlingen. Mange mister derfor motivasjonen til å fullføre en kur. I Norge brukes derfor "Direkte oberservert terapi" (DOT-behandling) i enkelte tilfeller. Dette innebærer at den smittede møter opp på f.eks helsestasjon daglig for å innta foreskrevet medisin.

Forskerne bak studien så på forekomsten av sykdommen i Estland, Latvia, Peru, Filippinene, Russland, Sør-Afrika, Sør-Korea og Thailand, og fant at i 44 prosent av tilfellene med MDR TB, var bakteriene også resistente mot minst en andrelinjemedisin.

  1. Dalton T, Cegielski P, et al. Prevalence of and risk factors for resistance to second-line drugs in people with multidrug-resistant tuberculosis in eight countries: a prospective cohort study. Lancet 2012. www.thelancet.com
  2. Hoffner S. Unexpected high levels of multidrug-resistant tuberculosis present new challenges for tuberculosis control. Lancet 2012. www.thelancet.com
  3. Alarming levels of drug-resistant TB found worldwide - Reuters. www.reuters.com
Annonse
Annonse